+918048060216
Currently it only shows your basic business info. Start adding relevant business details such as description, images and products or services to gain your customers attention by using Boost 360 android app / iOS App / web portal.

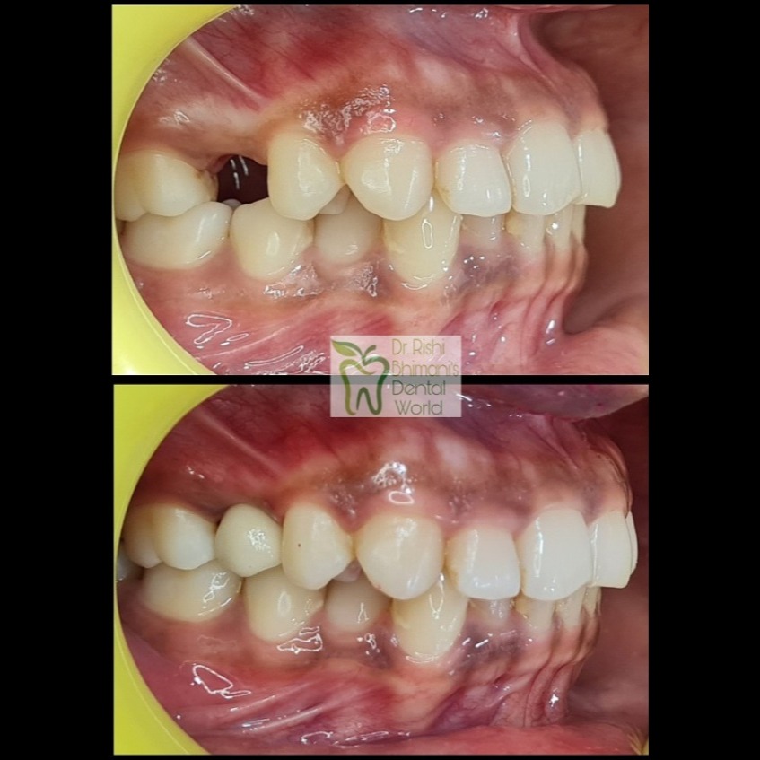
MISSING TEETH can adversely affect the smile as well as chewing function. Each tooth has been given a specific function, helping us in cutting and chewing food. MISSING TEETH can be replaced by DENTAL IMPLANT or TOOTH IMPLANT or by a tooth-like CERAMIC CROWN & BRIDGE. A Tooth Implant is an independent tooth that functions like a permanent natural tooth by helping in chewing as well as esthetics and phonetics. Installing a dental implant is a single sitting procedure on which the ceramic cap or crown is loaded after a few weeks or months. A Bridge as the name suggests uses adjacent natural teeth as supports for fixing teeth. A single or more teeth use the adjacent healthy teeth as supports. The supporting teeth need to be trimmed and damaged, if completely healthy for installing a bridge.