
2024-07-12T13:01:42
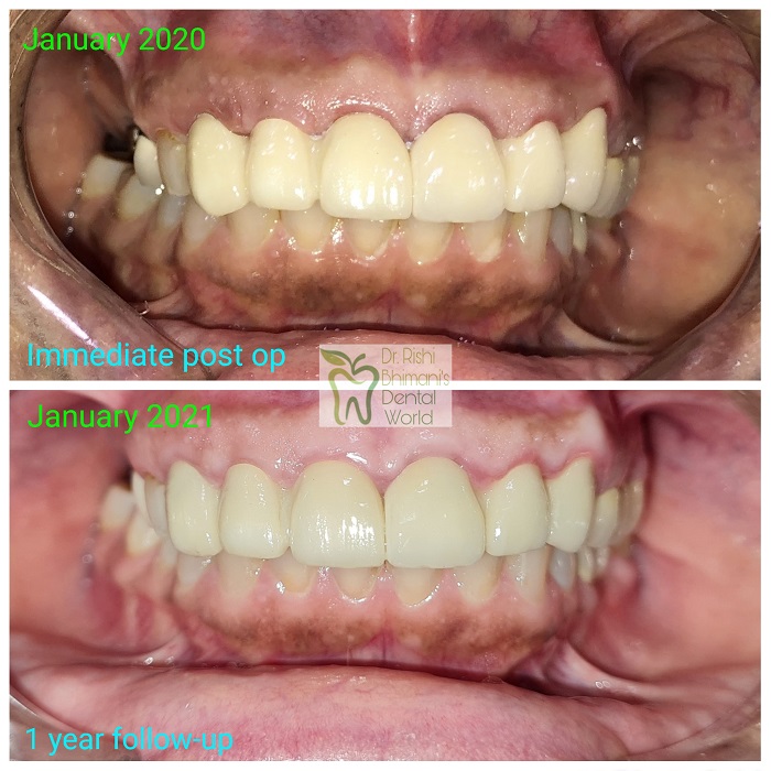
Smile Makeover or rehabilitation comprises of an array of dental procedures that aim at enhancing the smile of an individual. It involves Gum therapy, correction of malaligned/crowded teeth, gaps between teeth, restoration of discolored as well as decayed teeth with Root canal treatment, ceramic veneers and ceramic crowns, zirconia crowns or PFM crowns. Smile rehabilitation treatment is not only an esthetic dental treatment but also involves functional rehabilitation of teeth, that helps an individual to chew well. Smile makeover can boost the confidence of a person. Smile with confidence with a Smile makeover.