+918048060216

DRRISHISDENTALCLINIC Services
Preview

This is your website preview.

Currently it only shows your basic business info. Start adding relevant business details such as description, images and products or services to gain your customers attention by using Boost 360 android app / iOS App / web portal.

919833947368

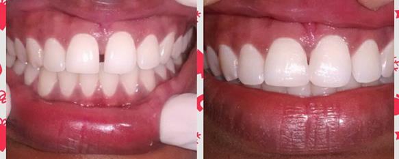
Searching for "cosmetic dental treatment"

Book Appointment Send Message

Online appointment booking is not available right now.

Purpose
False
Doctor

Morning

    Afternoon

      Evening

        Night

          Next
          Your enquiry
          Your contact info
          BOOKING DETAILS
          Visitor Name
          Mobile Number
          Email id

          Notes
          I agree to the appointment terms & conditions

          Appointment Confirmed

          Your appointment ID is

          Doctor Name:
          Date & Time:
          Contact:+918048060216
          Address:Shop No 9 & 10, Sai Palace CHS, Opp., Merchant 's Gymkhana Sector 14, vashi
          Appointment fee:
          Payment mode:
          Join video call at:

          Thanks for choosing us.Your appointment details has been shared on your mobile number  as well. Please arrive atleast 10 minutes ahead of the scheduled time.

          Success