+918048060216
Currently it only shows your basic business info. Start adding relevant business details such as description, images and products or services to gain your customers attention by using Boost 360 android app / iOS App / web portal.

ROOT CANAL TREATMENT IN VASHI A root canal treatm...
View Details
SMILE DESIGNING A stunning smile is like an inst...
View Details
Tooth decay is a process by which strong hard toot...
View Details
Experience Best multi-specialty dental treatment u...
View Details
Dr. Rishi's Dental clinic is equipped with the lat...
View Details
Replacement of missing molar and premolar teeth by...
View Details
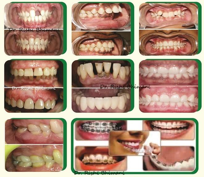
INVISALIGN Get the best Braces Treatment at afford...
View Details
With technological advancement in all fields of he...
View Details