scaling and polishing

+918048060216

DRRISHISDENTALCLINIC Services
Preview

This is your website preview.

Currently it only shows your basic business info. Start adding relevant business details such as description, images and products or services to gain your customers attention by using Boost 360 android app / iOS App / web portal.

919833947368

Scaling and polishing

Scaling an
Teeth Cleaning

Scaling and polishing

INR 2000

book appointment

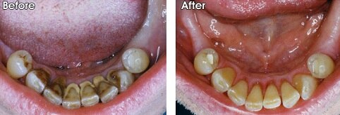
Scaling is a procedure of cleaning all the plaque and calcified deposits of plaque (commonly known as tartar) that cling to the teeth. Plaque and tartar are responsible for inflammation and infection of the gums as well as tooth decay. Ultrasonic vibrations are used to only remove firmly clung plaque and tartar deposits on teeth. A routine scaling does not take more than 20-30 mins. It is advised to get a routine scaling done every 6 months. Polishing is done at the end of scaling using a rubber cup of a small brush and a professional polishing paste to smoothen the unevenness on the teeth and give a smooth finish and shine. Polishing reduces the chances of subsequent plaque accumulation. COMMON MYTHS- Teeth become loose after scaling/ Scaling removes tooth structure and makes it weaker. FACTS- Scaling in fact strengthens the gums & teeth by removing the inflammation. As the gums heal, loose teeth become firm. In cases where individuals have too much of tartar and never got scaling done, due to the firmness of the tartar holding the teeth, removal of tartar during scaling can temporarily cause increased tooth mobility which reduces and teeth become firm after complete healing. Scaling does not remove tooth structure, it only removes the superficial plaque and tartar that is tightly stuck on it. Tooth is the hardest structure and cannot be removed easily.

Filter tags

We Provide Best Medical Service

Book Appointment Send Message

Online appointment booking is not available right now.

Purpose
False
Doctor

Morning

    Afternoon

      Evening

        Night

          Next
          Your enquiry
          Your contact info
          BOOKING DETAILS
          Visitor Name
          Mobile Number
          Email id

          Notes
          I agree to the appointment terms & conditions

          Appointment Confirmed

          Your appointment ID is

          Doctor Name:
          Date & Time:
          Contact:+918048060216
          Address:Shop No 9 & 10, Sai Palace CHS, Opp., Merchant 's Gymkhana Sector 14, vashi
          Appointment fee:
          Payment mode:
          Join video call at:

          Thanks for choosing us.Your appointment details has been shared on your mobile number  as well. Please arrive atleast 10 minutes ahead of the scheduled time.

          Success